At this point I think it’d be more notable if they didn’t find plastics in human tissues. It seems to be everywhere including in our brains, and that’s the bad kind of plasticity to have there.
Yeah, but the health of the market tho
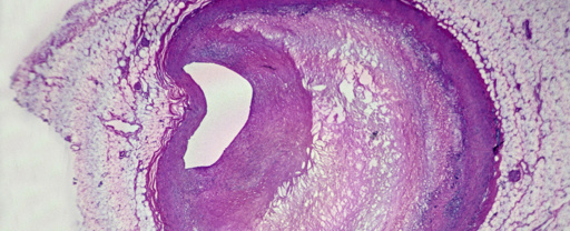
So to clarify for those who don’t want to read the article and a few supporting pieces, this is talking about the presence of plastic micro particles in plaques removed from patients.
Removing the plaque can reduce the risk of stroke so it is done fairly frequently. When they took out the plaque they checked for polyethylene, common plastic for bottles, plastic containers, and similar uses, and for PVC, famous for pipes and incredibly sweaty pants.
In both cases microplastics were found in the plaque. Both of these plastics have been shown to cause inflammation in other experiments where the plastic is introduced into the body.
What they seem to be suggesting is that some amount of the inflammation around a plaque could be caused or enhanced by these microplastics.
This study shows that in some plaques, about half of those examined, these two plastics were present. Previous studies have shown plastics can cause or enhance inflammation.
This study does not show that plastics are the primary cause of heart disease. It also does not show how much of an impact microplastics have on the formation of plaques, how dangerous they are, or whether they grow.
Because of the lack of information on how impactful microplastics are and the difficulty of reducing exposure the best evidence currently suggests focussing on removing the big known risks for heart disease. Those are smoking, alcohol, excessive sugar, burned or oxidised fats and oils, and a lack of physical activity. It would be wise to focus on those factors which we know cause heart disease rather than worrying about this small to nonexistent factor.
From an individual health perspective that makes sense, but not worrying about the extreme proliferation of plastic an unknown effects of bioaccumulation is probably really dumb on a societal level (and not worrying is clearly the path all or most developed countries have doubled down on).
Within the hardened plaque it’s probably pretty inert. But I don’t know if there’s any data on that.
My real question is, are they in any greater quantities than their found elsewere in the body?
It was my understanding that we’ve found microplastics in the body everywhere including the brain.
But microplastics are the current trendy health scare, distracting us from toxins with known mechanisms like motor exhausts and alcohol.
That’s… pretty disingenuous.
but where is the epstein list?
Fake lether, houses, paintings, cars, tires, e-waste, packaging, just some of our abundant sources of plastic waste.
Many if which could be replaced with wood and other cellulose material.
Yeah it’s everywhere to the point we are rarely not in contact with plastic. We wear it, sleep in it, drink with it, walk on it, and whatever else you can imagine.
Well I’m not having sex with it… (Stares at Roomba)
Not with that attitude
What about your couch? Probably lots of plastics in it, too.
Leather is also a fantastic material (without getting into the ethics of the cattle industry, which is another can of worms). It’s a little bit pricy but anything made from quality leather is going to last a damn long time.
Leather can be made from fungi now. Idk the process, but there are alternatives that could compete in quality and undercut price with an economy of scale.
I read an article that there is a very large glut of leather supply because it’s no longer trendy to wear leather clothes and no one is buying it. Not that prices have come down or anything.
I’m ok with it being a bit lux because that’s less dead cows, but it’s worth the extra cost given that it’ll outlast anything else if properly taken care of. You can get cheap leather jackets and belts at thrift shops, occasionally shoes as well (I do leatherwork and honestly get most of my belts from there)
Plastic ish materials can be made from plants like hemp, stronger and non toxic depending on how they are made.
Good luck switching over, barriers to entry, an economy of scale needed to compete with plastic, and oil bros using the government to stymie competition would all prevent large scale switch over.
90 pc of all plastic ever made had been made in the last ten years it was reported years back, and huge new manufacturies were under construction. Which since everything was already plastic makes one wonder what all new they are doing with this increasing supply?
One thing is for certain, landfill it. Recycling plastic does not work, it releases chemicals, and was a psy op of oil companies to begin with to deflect blame.
Hemp is so good and we should be using more of it.
Hemp is great, it would be a boon for farmers, with the end economy of scale they could take some of the leafy hemp parts for paper production, which makes better paper than wood pulp, and then the fibrous stocks can be used to make all sorts of like particle board and construction materials. Like plywood.
It would be great if they could somehow test a bunch of the plastic inside you for its origin so you can sue them.
The Koch family of murderers.
So I can blame the microplastics instead of the cholesterol?
No, but you also don’t need to blame the cholesterol. Cholesterol is a marker we can easily test, so we use that to measure things, but blaming cholesterol is like blaming fire fighters for fires. Cholesterol levels go up when you have damage to your blood vessel walls because LDL covers damage like a scab covers a wound, then once the damage is healed HDL removes the LDL and leaves repaired vessel wall. If you try to lower LDL artificially you can reduce the blood levels and think things are better but really damage is just not being repaired as well as it should be. A better option is to reduce the initial cause of the damage and let the repair process happen more efficiently.
Don’t smoke, don’t drink as much as possible, avoid huge amounts of sugar, exercise, sleep, and try to reduce stress. And then you can worry about not eating a credit card worth of plastic.
deleted by creator
Yeah, microplastics, not that bucket of fried chicken every day.









